IVC Filter
There is an IVC filter overlying L2-L3 in thie Hologic lumbar spine DXA image. IVC filters are often easily overlooked.

When L2 and L3 are omitted from analysis, the spine diagnosis changes from normal bone mineral density to low bone mass.

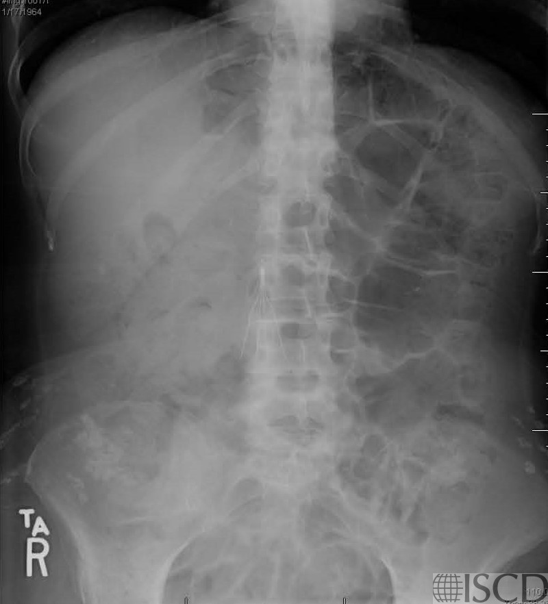
The corresponding abdominal x-ray shows the IVC filter.

There is an IVC filter overlying L2 and L3.
Sarah L Morgan, MD, RD, CCD, The University of Alabama at Birmingham
• Martineau, P., S. Bazarjani, and L.S. Zuckier, Artifacts and Incidental Findings Encountered on Dual-Energy X-Ray Absorptiometry: Atlas and Analysis. Semin Nucl Med, 2015. 45(5): p. 458-69.
• Bazzocchi, A., et al., Incidental findings with dual-energy X-ray absorptiometry: spectrum of possible diagnoses. Calcif Tissue Int, 2012. 91(2): p. 149-56.
• Bojinca, V., D. Opris, and M. Bonjinca, Artifacts and pitfalls in DXA scan images and interpretation. J Clin Densitom, 2012. 15(4): p. 486-487.