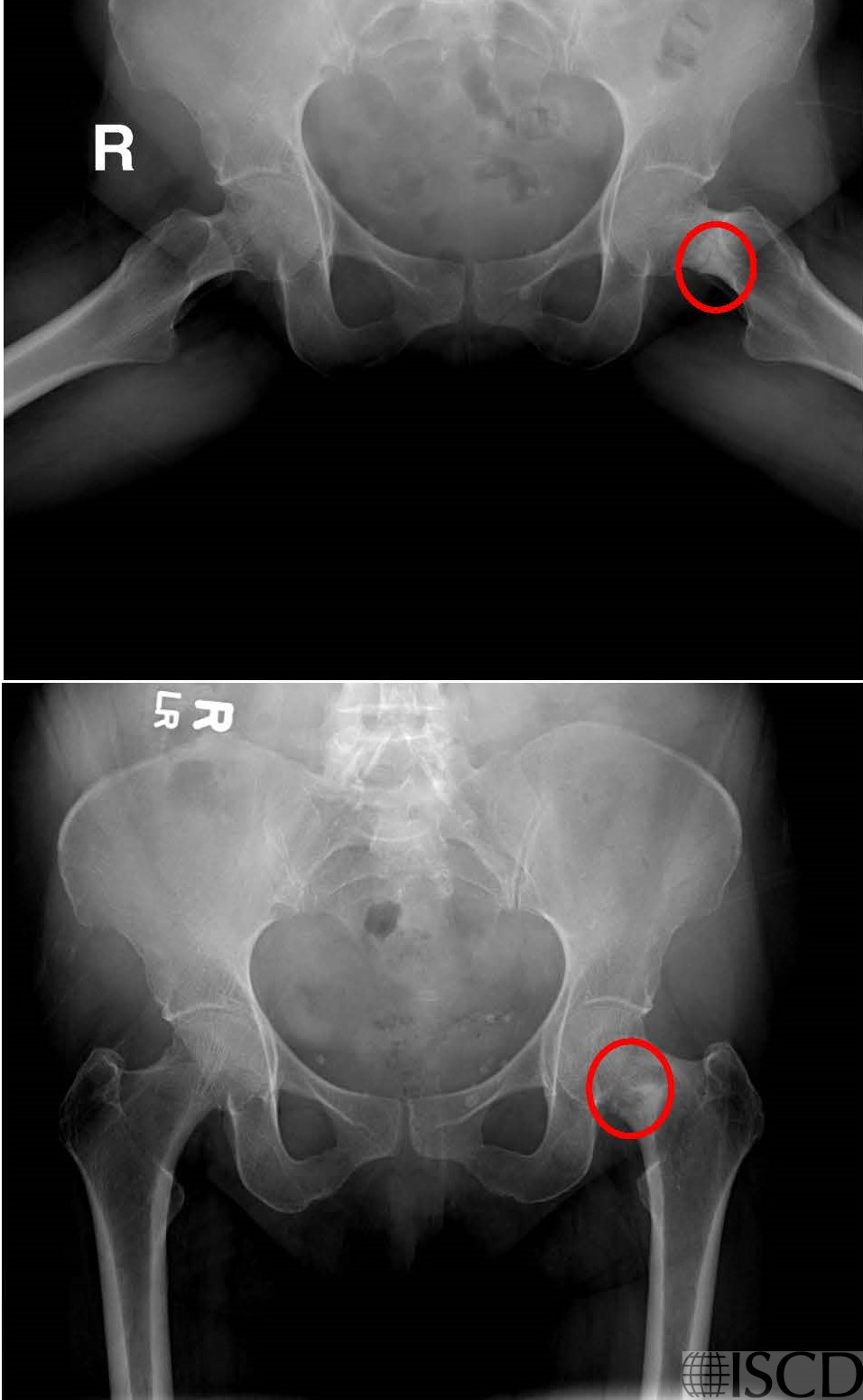
Femoral Neck Fracture
There is a linear opacity projecting upward into the left femoral neck. There is discordance in the bone mineral density between the femoral neck and total hip

On the radiographs, a fracture in the femoral neck is aparent (red circles).

On the Hologic left proximal hip image, there is a linear opacity projecting upward into the femoral neck. On the radiographs, a fracture in the femoral neck is seen. The patient was called and indicated that they were walking on the hip and were asymptomatic.
Sarah L Morgan, MD, RD, CCD, The University of Alabama at Birmingham