Nephrolithiasis
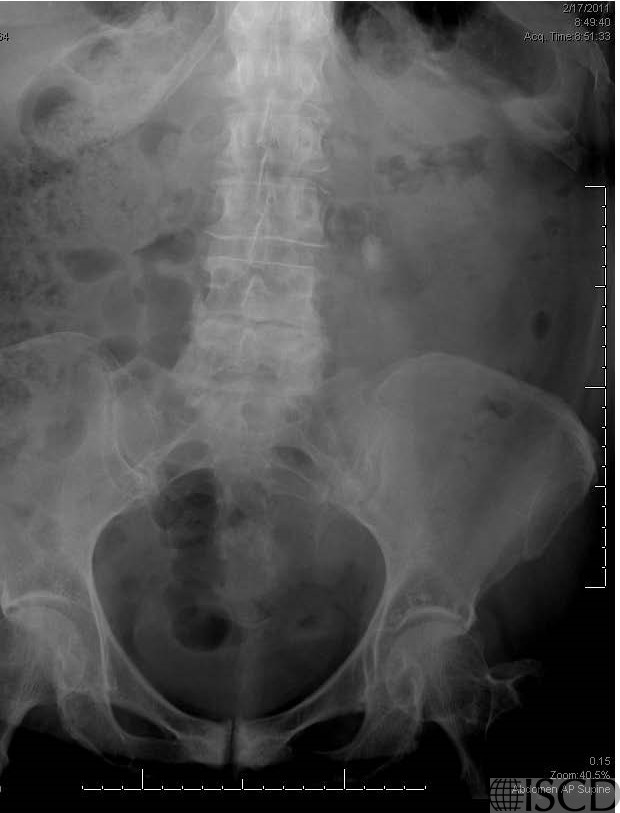
There is an opacity lateral to L2 on the left that was proven to be a kidney stones.

The accompanying supine abdominal film demonstrates the left kidney stone in the renal pelvis.

There is a renal stone lateral to L2 on the spine DXA. The corresponding radiograph shows a 1.5 x 1 cm calcification overlying the medial left renal outline. It was read as being consistent with a stone within the renal pelvis. On the Hologic “undo” view, the stone was removed from the soft tissue baseline. Individuals with kidney stones have been show to have lower bone mineral density and higher fracture risk than individuals without kidney stones.
Sarah L Morgan, MD, RD, CCD, The University of Alabama at Birmingham
• Bazzocchi, A., et al., Incidental findings with dual-energy X-ray absorptiometry: spectrum of possible diagnoses. Calcif Tissue Int, 2012. 91(2): p. 149-56.
• Martineau, P., S. Bazarjani, and L.S. Zuckier, Artifacts and Incidental Findings Encountered on Dual-Energy X-Ray Absorptiometry: Atlas and Analysis. Semin Nucl Med, 2015. 45(5): p. 458-69.
• Prochaska, M., et al., Low Bone Density and Bisphosphonate Use and the Risk of Kidney Stones. Clin J Am Soc Nephrol, 2017. 12(8): p. 1284-1290.
• Lucato, P., et al., Nephrolithiasis, bone mineral density, osteoporosis, and fractures: a systematic review
Lauderdale DS, Thisted RA, Wen M, Favus MJ: Bone mineral density and fracture among prevalent kidney stone cases in the Third National Health and Nutrition Examination Survey. J Bone Miner Res 16: 1893–1898, 2001.
Pietschmann F, Breslau NA, Pak CY: Reduced vertebral bone density in hypercalciuric nephrolithiasis. J Bone Miner Res 7: 1383–1388, 1992.
Cauley JA, Fullman RL, Stone KL, Zmuda JM, Bauer DC, Barrett-Connor E, Ensrud K, Lau EM, Orwoll ES; Mr. OS Research Group : Factors associated with the lumbar spine and proximal femur bone mineral density in older men. Osteoporos Int 16: 1525–1537, 2005.
Taylor EN, Feskanich D, Paik JM, Curhan GC: Nephrolithiasis and risk of incident bone fracture. J Urol 195: 1482–1486, 2016.
Denburg MR, Leonard MB, Haynes K, Tuchman S, Tasian G, Shults J, Copelovitch L: Risk of fracture in urolithiasis: A population-based cohort study using the health improvement network. Clin J Am Soc Nephrol 9: 2133–2140, 2014.
1NIH Consensus Development Panel on Osteoporosis Prevention, Diagnosis, and Therapy : Osteoporosis prevention, diagnosis, and therapy. JAMA 285: 785–795, 2001.
Keller JJ, Lin CC, Kang JH, Lin HC: Association between osteoporosis and urinary calculus: Evidence from a population-based study. Osteoporos Int 24: 651–657, 2013.
Asplin JR, Bauer KA, Kinder J, Müller G, Coe BJ, Parks JH, Coe FL: Bone mineral density and urine calcium excretion among subjects with and without nephrolithiasis. Kidney Int 63: 662–669, 2003.