Common iliac stents are present. There is discorance in the bone mineral density, with the bone density of L4 being increased because of the overlying artifact.

Common iliac stents are present. L4 is removed from analysis.

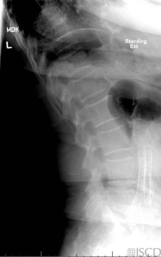
This is the accompanying lateral radiograph showing the iliac stents.

Case Description:
The Hologic lumbar spine DXA shows common iliac stents overlying L4. Therefore, L4 is omitted from analysis. The accompanying lateral radiograph also demonstrates the iliac stents.
Credit:
Sarah L Morgan, MD, RD, CCD, The University of Alabama at Birmingham
References:
• Martineau, P., S. Bazarjani, and L.S. Zuckier, Artifacts and Incidental Findings Encountered on Dual-Energy X-Ray Absorptiometry: Atlas and Analysis. Semin Nucl Med, 2015. 45(5): p. 458-69.
• Bazzocchi, A., et al., Incidental findings with dual-energy X-ray absorptiometry: spectrum of possible diagnoses. Calcif Tissue Int, 2012. 91(2): p. 149-56.
