Laminectomy
The lumbar spine DXA shows a laminectomy and spinal hardware. Because there is only one useable vertebral body the spine will not be reported and a wrist scan should be added.

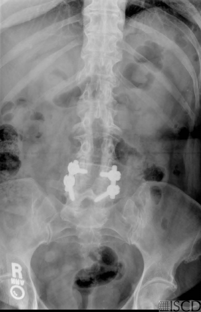
The accompanying radiograph shows the laminectomy and spinal hardware.

Laminectomy and spinal hardware are seen on the DXA image and the accompanying radiograph. Because of the presence of laminectomy and hardware, the spine will not be useful in diagnosis and follow-up.
Sarah L Morgan, MD, RD, CCD, The University of Alabama at Birmingham
• Spencer, R.P., D.P. Szigeti, and I.O. Engin, Effect of laminectomy on measured bone density. J Clin Densitom, 1998. 1(4): p. 375-7.