Pseudo-AFF on hip DXA
Figure 1A: Left hip DXA, arrow shows bony protrusion from the lateral cortical subtrochanteric femur.

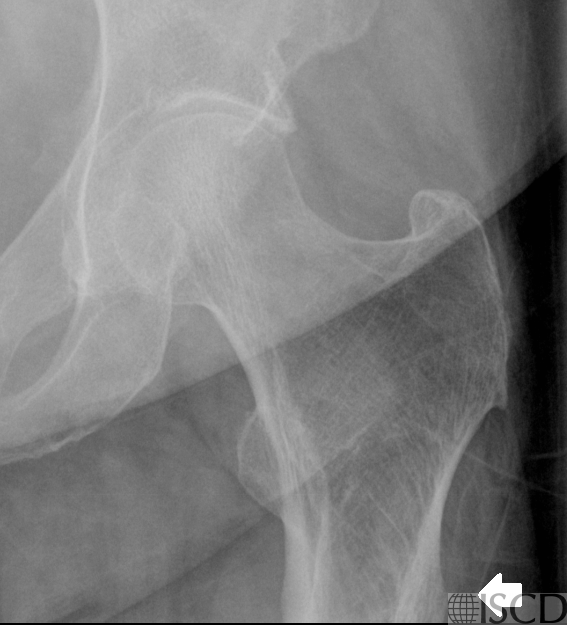
Figure 1B: X-ray left hip shows bony exostosis from the lateral cortical subtrochanteric femur.

Figure 2A: X-ray knees shows multiple bony exostoses.

Case Description:
58 year old woman undergoing DXA after right hip fracture.
Left hip DXA image shows bony protrusion from the lateral cortical subtrochanteric femur. Periosteal stress reaction from an atypical femur fracture (AFF) might be considered, but the patient had received no anti-osteoporosis therapy, there were no symptoms and there was no endosteal reaction. Further review shows a history of multiple hereditary exostoses, as seen on x-ray for the left hip and knees.
This highlights the importance of clinical correlation and imaging review before diagnosing an AFF — there is always a differential to consider.
Credit: William D. Leslie, MD FRCPC MSc CCD, University of Manitoba
References:
1. Radiological criteria for atypical features of femur fractures: what we can learn when applied in a clinical study setting.
LeBlanc ES, Rosales AG, Genant HK, Dell RM, Friess DM, Boardman DL, Santora AC, Bauer DC, de Papp AE, Black DM, Orwoll ES.
Osteoporos Int. 2019 Jun;30(6):1287-1295. doi: 10.1007/s00198-019-04869-z. Epub 2019 Feb 26.
PMID: 30809724
2. Evaluating Atypical Features of Femur Fractures: How Change in Radiological Criteria Influenced Incidence and Demography of Atypical Femur Fractures in a Community Setting.
LeBlanc ES, Rosales AG, Black DM, Genant HK, Dell RM, Friess DM, Boardman DL, Bauer DC, de Papp A, Santora AC, Orwoll ES.
J Bone Miner Res. 2017 Nov;32(11):2304-2314. doi: 10.1002/jbmr.3221. Epub 2017 Aug 14.
PMID: 28731209
3. Atypical subtrochanteric and diaphyseal femoral fractures: second report of a task force of the American Society for Bone and Mineral Research.
Shane E, Burr D, Abrahamsen B, Adler RA, Brown TD, Cheung AM, Cosman F, Curtis JR, Dell R, Dempster DW, Ebeling PR, Einhorn TA, Genant HK, Geusens P, Klaushofer K, Lane JM, McKiernan F, McKinney R, Ng A, Nieves J, O’Keefe R, Papapoulos S, Howe TS, van der Meulen MC, Weinstein RS, Whyte MP.
J Bone Miner Res. 2014 Jan;29(1):1-23. doi: 10.1002/jbmr.1998. Epub 2013 Oct 1.
PMID: 23712442