Surgical Clips
The Hologic lumbar spine image shows surgical clips lateral to L2-L4 and overlying L2. There is also a prominent black hole-type artifact lateral to L1-L2. L2 would be omitted from analysis because of overlying artifacts. Using the undo view in Hologic it could be documented that the clips in the soft tissue are deleted from the soft tissue baseline.

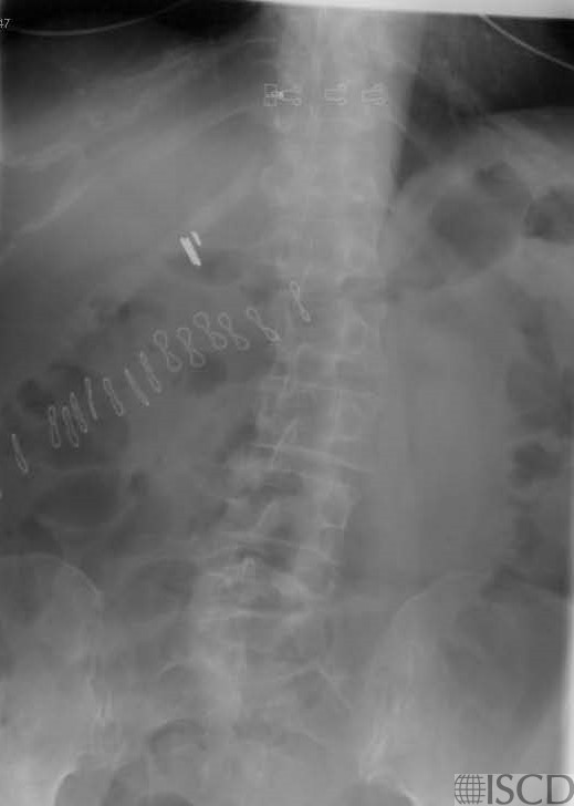
This is the accompanying radiograph which shows the clips and the clips causing the black hole-type artifact

The Hologic lumbar spine image shows surgical clips latera to L2-L3 on the right clips over L2. There is a prominent black hole-type artifact lateral to L1-L2 on the right on the dual energy scan. The accompanying radiograph also shows the internal artifacts.
Sarah L Morgan, MD, RD, CCD, The University of Alabama at Birmingham
• Martineau, P., S. Bazarjani, and L.S. Zuckier, Artifacts and Incidental Findings Encountered on Dual-Energy X-Ray Absorptiometry: Atlas and Analysis. Semin Nucl Med, 2015. 45(5): p. 458-69.
• Bazzocchi, A., et al., Incidental findings with dual-energy X-ray absorptiometry: spectrum of possible diagnoses. Calcif Tissue Int, 2012. 91(2): p. 149-56.
• Bojinca, V., D. Opris, and M. Bonjinca, Artifacts and pitfalls in DXA scan images and interpretation. J Clin Densitom, 2012. 15(4): p. 486-487.