Vertebral Augmentation
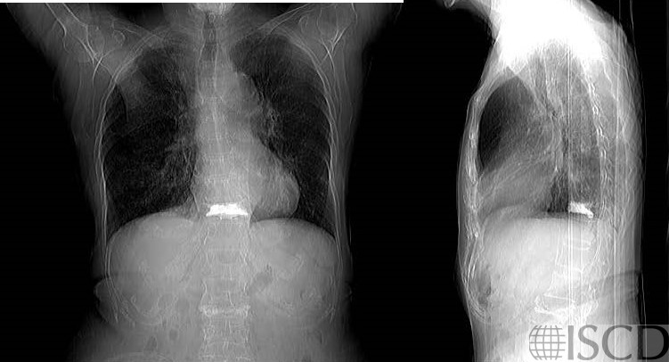
There is vertebral augmentation at L3.

The accompanying PA and lateral chest radiograph also shows the vertebral augmentation.

There is vertebral augmentation at L3 that is also seen on the accompanying chest radiograph.
Sarah L Morgan, MD, RD, CCD, The University of Alabama at Birmingham
Richmond, B.J., Vertebral Augmentation for Osteoporotic Compression Fractures. J Clin Densitom, 2016. 19(1): p. 89-96.